Giant Cell Bone Tumor
- Home
- Sarcomas surgery
- Giant Cell Bone Tumor
TUMOR DE CÉLULAS GIGANTES ÓSEO
El Tumor de Células Gigantes Óseo (TCG):
- es una neoplasia osteolítica localmente agresiva
- está compuesto por Células Gigantes Osteoclastos-like (expresan RANK) y células estromales (expresan RANKL)
- está asociado a dolor y a pérdida de movilidad y función
- mimetiza otros tumores malignos
CLÍNICA
- Raros: 5-9% de T Primarios Óseos y 20% de los T Benignos Óseos
- Muy bajo potencial metastático
- Habitualmente entre 20 y 50 años (esqueleto maduro)
- Afecta comúnmente a epífisis de huesos largos (50% cerca de rodilla)
- Clínica: dolor local, tumefacción, hipersensibilidad, fractura patológica
- Transformación maligna posible: Osteosarcoma, Fibrosarcoma y HFM
TRATAMIENTO
El tratamiento puede ser:
- Tumores localizados: cirugía (recurrencia del 20-50% en 3 años)
- Tumores metastásicos: cirugía con alta probabilidad de recurrencia
- Tumores irresecables por la localización
Curetaje agresivo


Burring óseo

Tratamiento adyuvante: nitrógeno líquido

Tratamiento adyuvante: fenol 90%

Relleno óseo: Cemento acrílico
Resección en bloque: Reconstrucción
- Alopròtesis
- Aloinjerto

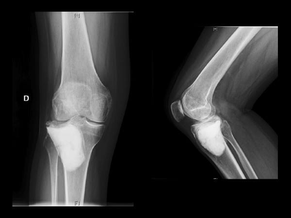
Varón de 39 años
- Dolor +impotencia funcional 3 meses
- Biopsia Trucut+TCG





TCG sin Denosumab
Mujer 43 años
- TCG localmente agresivo en fémur distal
- No permitió curetaje + fenolización y cemento acrílico por la elevada destrucción ósea






Mujer de 33 años: Dolor de inicio insidioso en rodilla a finales de 2012 - Diagnostico TCG Enero de 2013
Progresión Febrero de 2013: Tratamiento standard sin Denosumab



TCG METASTÁSICO
A) Mujer 41 años
- Recidiva TCG partes blandas tibia proximal dcha


Resección de Peroné + Injerto miocutáneo


B) Mujer de 54 años
- Cirugía convencional no posible
- TCG tratamiento previo con denosumab




C) Paciente varón de 40 años de edad
- Dolor de intenso en incapacitante en rodilla D
- Diagnóstico de TCG, tratamiento con curetage no posible de entrada.
- Mejoría del dolor a la 4 semanas de tratamiento con denosumab










Cirugía conservadora


Contacta con el Dr. Oscar Tendero, especialista en tratamientos de tumores de células gigantes óseos en Mallorca.
YOUR HEALTH FIRST
GEIS bone tumor meeting
Endo-exo integrated femoral prosthesis
CONSULT
Hospital Juaneda Miramar
Camí de la Vileta, 30
07011 Palma
971 280 000
